手機(jī)掃碼訪問本站
 
        微信咨詢
		
	
| 
					 Background:  | 
				
					 This gene encodes a transmembrane protein, which is located primarily in the endoplasmic reticulum and ubiquitously expressed with highest levels in brain, pancreas, heart, and insulinoma beta-cell lines. Mutations in this gene are associated with Wolfram syndrome, also called DIDMOAD (Diabetes Insipidus, Diabetes Mellitus, Optic Atrophy, and Deafness), an autosomal recessive disorder. The disease affects the brain and central nervous system. Mutations in this gene can also cause autosomal dominant deafness 6 (DFNA6), also known as DFNA14 or DFNA38. Alternatively spliced transcript variants have been found for this gene.  | 
			
| 
					 Applications:  | 
				
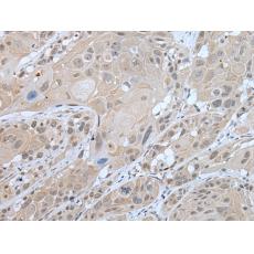
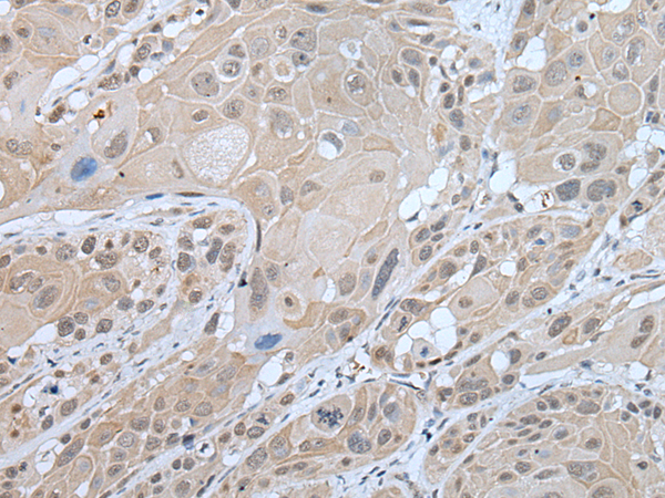
					 ELISA, IHC  | 
			
| 
					 Name of antibody:  | 
				
					 WFS1  | 
			
| 
					 Immunogen:  | 
				
					 Fusion protein of human WFS1  | 
			
| 
					 Full name:  | 
				
					 Wolfram syndrome 1 (wolframin)  | 
			
| 
					 Synonyms:  | 
				
					 WFS; WFRS; WFSL; CTRCT41  | 
			
| 
					 SwissProt:  | 
				
					 O76024  | 
			
| 
					 ELISA Recommended dilution:  | 
				
					 5000-10000  | 
			
| 
					 IHC positive control:  | 
				
					 Human esophagus cancer and human tonsil  | 
			
| 
					 IHC Recommend dilution:  | 
				
					 20-100  | 
			

	
	