手機(jī)掃碼訪問本站
 
        微信咨詢
		
	
		
	
| 
					 Background:  | 
				
					 This gene encodes a member of the WAP-type four-disulfide core (WFDC) domain family. The WFDC domain, or WAP signature motif, contains eight cysteines forming four disulfide bonds at the core of the protein, and functions as a protease inhibitor. Most WFDC gene members are localized to chromosome 20q12-q13 in two clusters: centromeric and telomeric. This gene belongs to the centromeric cluster.  | 
			
| 
					 Applications:  | 
				
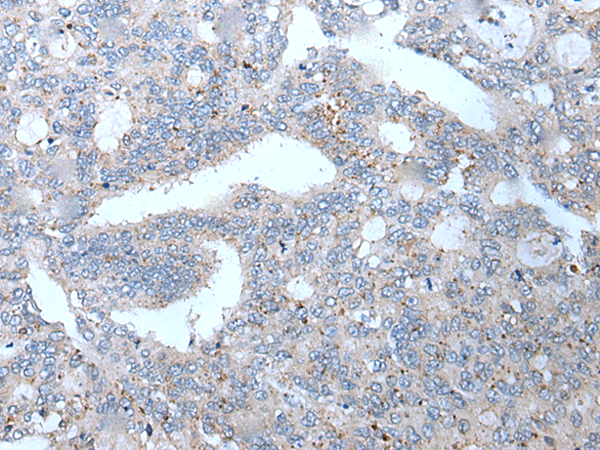
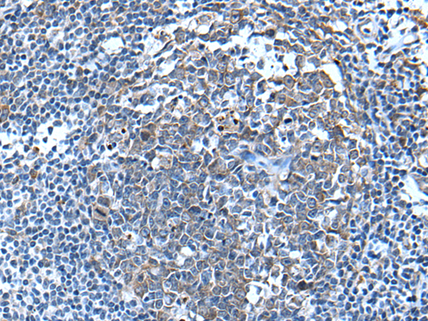
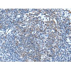
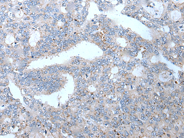
					 ELISA, IHC  | 
			
| 
					 Name of antibody:  | 
				
					 WFDC12  | 
			
| 
					 Immunogen:  | 
				
					 Synthetic peptide of human WFDC12  | 
			
| 
					 Full name:  | 
				
					 WAP four-disulfide core domain 12  | 
			
| 
					 Synonyms:  | 
				
					 WAP2; SWAM2; C20orf122; dJ211D12.4  | 
			
| 
					 SwissProt:  | 
				
					 Q8WWY7  | 
			
| 
					 ELISA Recommended dilution:  | 
				
					 5000-10000  | 
			
| 
					 IHC positive control:  | 
				
					 Human colorectal cancer and human tonsil  | 
			
| 
					 IHC Recommend dilution:  | 
				
					 20-100  | 
			

	
	