手機(jī)掃碼訪問本站
微信咨詢
|
Background: |
Regulates Wnt proteins sorting and secretion in a feedback regulatory mechanism. This reciprocal interaction plays a key role in the regulation of expression, subcellular location, binding and organelle-specific association of Wnt proteins. Plays also an important role in establishment of the anterior-posterior body axis formation during development (By similarity). |
|
Applications: |
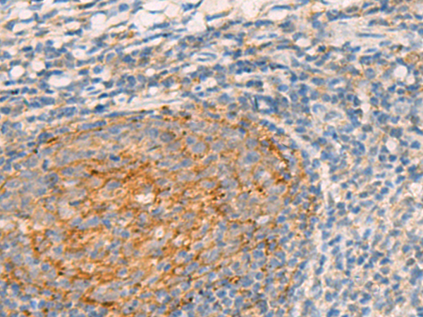
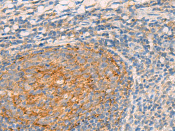
ELISA, IHC |
|
Name of antibody: |
WLS |
|
Immunogen: |
Synthetic peptide of human WLS |
|
Full name: |
wntless Wnt ligand secretion mediator |
|
Synonyms: |
EVI; MRP; GPR177; mig-14; C1orf139 |
|
SwissProt: |
Q5T9L3 |
|
ELISA Recommended dilution: |
5000-10000 |
|
IHC positive control: |
Human tonsil |
|
IHC Recommend dilution: |
50-300 |

