手機(jī)掃碼訪問(wèn)本站
微信咨詢
|
Background: |
This gene encodes a WASP interacting protein (WIP)-related protein. It has been shown that this protein has a role in the WASP-mediated organization of the actin cytoskeleton and that this protein is a potential link between the activated platelet-derived growth factor receptor and the actin polymerization machinery. |
|
Applications: |
ELISA, WB, IHC |
|
Name of antibody: |
WIPF2 |
|
Immunogen: |
Synthetic peptide of human WIPF2 |
|
Full name: |
WAS/WASL interacting protein family member 2 |
|
Synonyms: |
WICH; WIRE |
|
SwissProt: |
Q8TF74 |
|
ELISA Recommended dilution: |
5000-10000 |
|
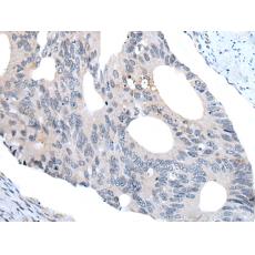
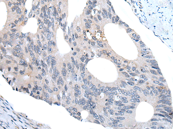
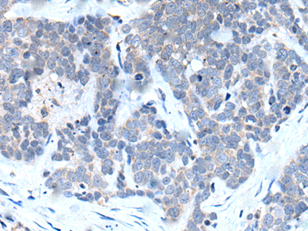
IHC positive control: |
Human tonsil and human lung cancer |
|
IHC Recommend dilution: |
10-50 |
|
WB Predicted band size: |
46 kDa |
|
WB Positive control: |
Hela cell lysate |
|
WB Recommended dilution: |
500-2000 |

