手機(jī)掃碼訪問本站
 
        微信咨詢
		
	
| 
					 Background:  | 
				
					 This gene encodes a member of the WAP-type four-disulfide core (WFDC) domain family. The WFDC domain, or WAP signature motif, contains eight cysteines forming four disulfide bonds at the core of the protein, and functions as a protease inhibitor. The encoded protein contains four WFDC domains. Most WFDC genes are localized to chromosome 20q12-q13 in two clusters: centromeric and telomeric. This gene belongs to the telomeric cluster. Alternatively spliced transcript variants have been observed but their full-length nature has not been determined.  | 
			
| 
					 Applications:  | 
				
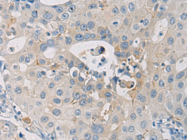
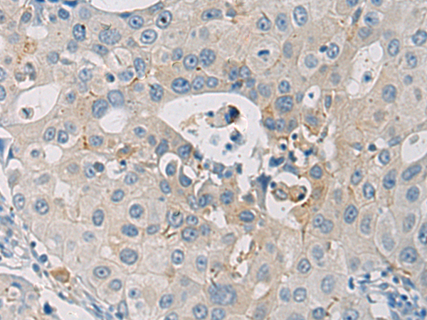
					 ELISA, IHC  | 
			
| 
					 Name of antibody:  | 
				
					 WFDC3  | 
			
| 
					 Immunogen:  | 
				
					 Synthetic peptide of human WFDC3  | 
			
| 
					 Full name:  | 
				
					 WAP four-disulfide core domain 3  | 
			
| 
					 Synonyms:  | 
				
					 WAP14; dJ447F3.3  | 
			
| 
					 SwissProt:  | 
				
					 Q8IUB2  | 
			
| 
					 ELISA Recommended dilution:  | 
				
					 5000-10000  | 
			
| 
					 IHC positive control:  | 
				
					 Human liver cancer and Human breast cancer  | 
			
| 
					 IHC Recommend dilution:  | 
				
					 50-100  | 
			
	
	
	