手機(jī)掃碼訪問本站
 
        微信咨詢
		
	
| 
				 Background:  | 
			
				 WDSUB1 (WD repeat, SAM and U-box domain-containing protein 1), also known as UBOX6 or WDSAM1, is a 476 amino acid protein that contains one SAM (sterile alpha motif) domain, one U-box domain and seven WD repeats. Existing as two isoforms due to alternative splicing, WDSUB1 is encoded by a gene located on chromosome 2. The second largest human chromosome, chromosome 2 encodes over 1,400 genes and comprises nearly 8% of the human genome, housing a number of disease-associated genes. Harlequin icthyosis, a rare and morbid skin deformity, is associated with mutations in the ABCA12 gene, while the lipid metabolic disorder sitosterolemia is associated with defects in the ABCG5 and ABCG8 genes. Additionally, an extremely rare recessive genetic disorder, Alstr m syndrome, is caused by mutations in the ALMS1 gene, which maps to chromosome 2.  | 
		
| 
				 Applications:  | 
			
				 ELISA, WB, IHC  | 
		
| 
				 Name of antibody:  | 
			
				 WDSUB1  | 
		
| 
				 Immunogen:  | 
			
				 Synthetic peptide of human WDSUB1  | 
		
| 
				 Full name:  | 
			
				 WD repeat, sterile alpha motif and U-box domain containing 1  | 
		
| 
				 Synonyms:  | 
			
				 UBOX6; WDSAM1  | 
		
| 
				 SwissProt:  | 
			
				 Q8N9V3  | 
		
| 
				 ELISA Recommended dilution:  | 
			
				 5000-10000  | 
		
| 
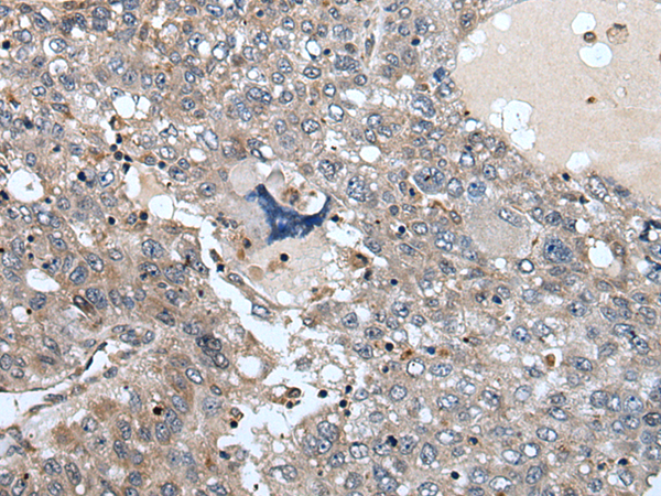
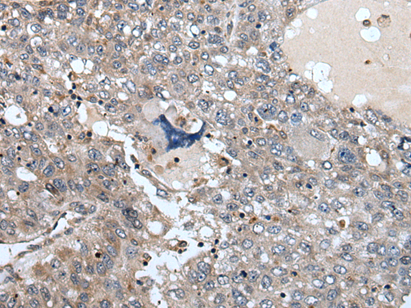
				 IHC positive control:  | 
			
				 Human liver cancer  | 
		
| 
				 IHC Recommend dilution:  | 
			
				 25-100  | 
		
| 
				 WB Predicted band size:  | 
			
				 53 kDa  | 
		
| 
				 WB Positive control:  | 
			
				 231,K562,293T and Hela cell lysates  | 
		
| 
				 WB Recommended dilution:  | 
			
				 200-1000  | 
		
	
