手機(jī)掃碼訪問本站
 
        微信咨詢
		
	
| 
				 Background:  | 
			
				 The globular WW domain, named for the conserved tryptophan residues in the protein motif present in various structural and regulatory proteins, is known to play a role in the mediation of protein-protein interactions. This gene encodes a ligand of the WW domain of the Yes kinase-associated protein. Readthrough transcription of the neighboring upstream gene, which encodes INO80 complex subunit B, into this gene generates a non-coding transcript.  | 
		
| 
				 Applications:  | 
			
				 ELISA, WB, IHC  | 
		
| 
				 Name of antibody:  | 
			
				 WBP1  | 
		
| 
				 Immunogen:  | 
			
				 Full length fusion protein  | 
		
| 
				 Full name:  | 
			
				 WW domain binding protein 1  | 
		
| 
				 Synonyms:  | 
			
				 WBP-1  | 
		
| 
				 SwissProt:  | 
			
				 Q96G27  | 
		
| 
				 ELISA Recommended dilution:  | 
			
				 5000-10000  | 
		
| 
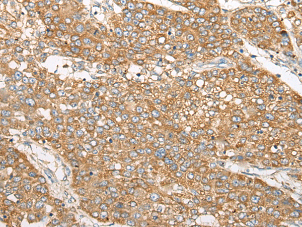
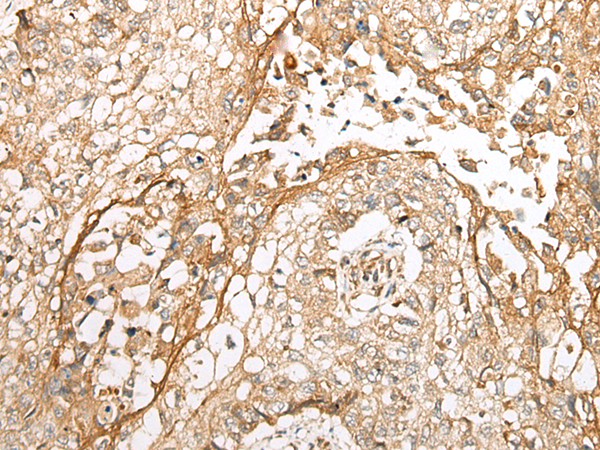
				 IHC positive control:  | 
			
				 Human liver cancer and human lung cancer  | 
		
| 
				 IHC Recommend dilution:  | 
			
				 25-100  | 
		
| 
				 WB Predicted band size:  | 
			
				 29 kDa  | 
		
| 
				 WB Positive control:  | 
			
				 Human fetal liver tissue and left kidney tissue lysates  | 
		
| 
				 WB Recommended dilution:  | 
			
				 200-1000  | 
		
	
	
	
	
