手機掃碼訪問本站
微信咨詢
|
Background: |
Aminoacyl-tRNA synthetases catalyze the aminoacylation of tRNA by their cognate amino acid. Because of their central role in linking amino acids with nucleotide triplets contained in tRNAs, aminoacyl-tRNA synthetases are thought to be among the first proteins that appeared in evolution. Two forms of tryptophanyl-tRNA synthetase exist, a cytoplasmic form, named WARS, and a mitochondrial form, named WARS2. This gene encodes the mitochondrial tryptophanyl-tRNA synthetase. Two alternative transcripts encoding different isoforms have been described. |
|
Applications: |
ELISA, WB, IHC |
|
Name of antibody: |
WARS2 |
|
Immunogen: |
Fusion protein of human WARS2 |
|
Full name: |
tryptophanyl tRNA synthetase 2, mitochondrial |
|
Synonyms: |
TrpRS |
|
SwissProt: |
Q9UGM6 |
|
ELISA Recommended dilution: |
5000-10000 |
|
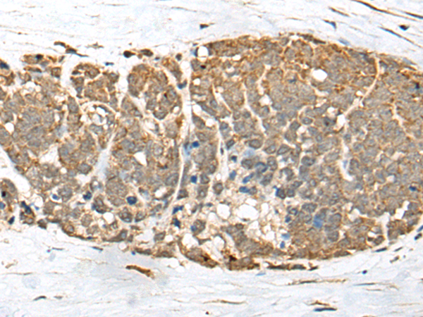
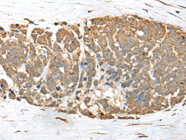
IHC positive control: |
Human thyroid cancer |
|
IHC Recommend dilution: |
25-100 |
|
WB Predicted band size: |
40 kDa |
|
WB Positive control: |
MCF-7 and Hela cell lysates |
|
WB Recommended dilution: |
200-1000 |
